

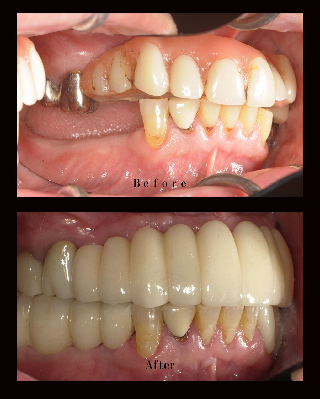
60代 男性
上顎:入れ歯が合わない
下顎:臼歯部動揺
入れ歯は嫌だ!
上顎:両側サイナスリフト
即時負荷
下顎:GBR(骨誘導再生法)
最終補綴、オールセラミック
4ヵ月
上顎 236万円(別途消費税)
下顎 88万円(別途消費税)
合計(一次 二次オペ代各1万円を含む) 326万円(別途消費税)
(天然歯の治療 仮義歯は別途費用を要します)
治療期間中は腫れや痛みを伴う 場合があります。
インプラントの成功率 (インプラントと骨が結合する確率) は98%です。
世界的にみても、この数字から
大幅に変動することはありません。
しかし、2%の非成功例でも、
リカバリーは可能です。
(厚生省の指導により、 インプラント治療のリスクを 明示することになりました)
インプラント治療の中で大技である
サイナスリフトを両側に行いました。
(サイナスリフトを大学病院で行う場合、
腸骨=腰の骨より自家骨採取となるため、
入院を要する手術になるケースも
あります。)
更に、即時負荷で対応しています。
サイナスリフトで、 インプラントも同時に埋入することの 意義は大きいのです。
光機能化処理なされたインプラントは、 骨を早く再生することが可能です。
当歯科のサイナスリフトは、
すべて同時インプラント埋入です。
複数回に分けて手術を行うより、
1度でできる限りのことを済ませる方が、
ゴールも近く、患者さんの負担も
小さくなると考えます。
勿論、手術の迅速性と的確性は 要求されることではありますが・・


50代 男性
なんとか残してきた 前歯がぐらぐらで困った!
残存歯動揺にて咬合不全
咬合痛
発音障害
審美障害
上顎:臼歯部両側サイナスリフト
抜歯後即時埋入
オールセラミック
下顎:抜歯即時埋入即時負荷
5ヵ月
上顎 236万円(別途消費税)
下顎 162万円(別途消費税)
合計(一次 二次オペ代各1万円を含む) 400万円(別途消費税)
治療期間中は腫れや痛みを伴う 場合があります。
インプラントの成功率 (インプラントと骨が結合する確率) は98%です。
世界的にみても、この数字から
大幅に変動することはありません。
しかし、2%の非成功例でも、
リカバリーは可能です。
(厚生省の指導により、 インプラント治療のリスクを 明示することになりました)
初診時は前歯部しか
しっかりした歯はなく、
逆に上顎臼歯部は、
残存骨が不十分な量で、
骨再生療法を要した。
そこで、骨量・骨質が十分な下顎は、
抜歯した。
当日にインプラントを埋入し、 同日にインプラントで支える 仮歯をお入れした。 (抜歯即時埋入 即時負荷)
上顎は全歯はまず温存し、臼歯に骨造成。
同時インプラント埋入した。
(サイナスリフト)
これにより、治療中も
自身の歯での咬合が可能となった。
上顎臼歯部は5ヵ月後に骨再生を果たし、
インプラントでの咬合を確保したため、
インプラント支持の咬合に切り替え、
長期保存は不可能な残存前歯を抜歯し、
ここにインプラントを追加埋入、
治療を完了した。
このように誰もが不自由と感じ、
それを避けるべき
『入れ歯』を使用する期間をなしとし、
最低限の咬合を確保し、
治療目標を達したケースである。


40代 男性
人前でしゃべれない
食事ができない
体重減少
サイナスリフト
GBR
3ヶ月
上顎 236万円(別途消費税)
下顎 162万円(別途消費税)
合計(一次 二次オペ代各1万円を含む) 400万円(別途消費税)
治療期間中は腫れや痛みを伴う 場合があります。
インプラントの成功率 (インプラントと骨が結合する確率) は98%です。
世界的にみても、この数字から
大幅に変動することはありません。
しかし、2%の非成功例でも、
リカバリーは可能です。
(厚生省の指導により、 インプラント治療のリスクを 明示することになりました)
人前で講演なさるのがお仕事の方で、 大変悩んでおられました。
確かに、下顎はともかく、 上顎が総義歯になれば落ちてくる、 という不安が生まれてきます。
残った歯が危機になり、 意を決して治療なさいました。
有名な映画解説の方(最期に
『サヨナラ サヨナラ』って言う方)が、
晩年入れ歯をいれずにしゃべってらしたのも、
これが怖かったのだと思います。
卓越したインプラント技術があれば、 こうゆうこともなかったでしょう。
治療の後に長文のメールをいただき、 治療後の心の安堵と噛める幸せを ご報告して下さいました。


40代 女性
連結してもたしていたブリッジがいよいよダメだ!
上顎 左側 サイナスリフト
右側 上顎結節埋入
抜歯即時埋入
下顎 抜歯即時埋入 即時負荷
3.5ヶ月
上顎 206万円(別途消費税)
下顎 162万円(別途消費税)
合計(一次 二次オペ代各1万円を含む) 370万円(別途消費税)
治療期間中は腫れや痛みを伴う 場合があります。
インプラントの成功率 (インプラントと骨が結合する確率) は98%です。
世界的にみても、この数字から
大幅に変動することはありません。
しかし、2%の非成功例でも、
リカバリーは可能です。
(厚生省の指導により、 インプラント治療のリスクを 明示することになりました)
下顎は抜歯後当日にインプラント埋入し、同日にインプラントで支える歯をおいれしてます。
上顎は前歯のみ、歯が当面は使える状態のため、歯のない臼歯部にインプラント埋入。
2ヵ月後インプラントが定着してのち、ここに仮歯をいれ、前歯を抜歯、インプラントを即時埋入しています。
つまり、治療中であっても、歯が無い(入れ歯)の状態がないように、治療計画を立てています。


50代 女性
どこに行ってもインプラントは無理だと言われた!
サイナスリフト
上顎 結節埋入
下顎 歯周外科 歯周補綴
6ヶ月
上顎 236万円(別途消費税)
下顎 132万円(別途消費税)
合計(一次 二次オペ代各1万円を含む) 370万円(別途消費税)
治療期間中は腫れや痛みを伴う 場合があります。
インプラントの成功率 (インプラントと骨が結合する確率) は98%です。
世界的にみても、この数字から
大幅に変動することはありません。
しかし、2%の非成功例でも、
リカバリーは可能です。
(厚生省の指導により、 インプラント治療のリスクを 明示することになりました)
東洋人はみんなその傾向にあるのですが、本当に骨量が少ない上顎骨のリカバリーケースです。


60代 男性
最近入れ歯がガタガタしてきた!
GBR
抜歯即時埋入
3.5ヶ月
上顎 206万円(別途消費税)
下顎 132万円(別途消費税)
合計(一次 二次オペ代各1万円を含む) 340万円(別途消費税)
(天然歯の治療 仮義歯は別途費用を要します)
治療期間中は腫れや痛みを伴う 場合があります。
インプラントの成功率 (インプラントと骨が結合する確率) は98%です。
世界的にみても、この数字から
大幅に変動することはありません。
しかし、2%の非成功例でも、
リカバリーは可能です。
(厚生省の指導により、 インプラント治療のリスクを 明示することになりました)
きれいになりましたね!!


60代 男性
入れ歯も自分の歯もゆがんでる。だから噛めないのかも?!
即時負荷
3ヶ月
上顎 206万円(別途消費税)
下顎 110万円(別途消費税)
合計(一次 二次オペ代各1万円を含む) 318万円(別途消費税)
(天然歯の治療 仮義歯は別途費用を要します)
治療期間中は腫れや痛みを伴う 場合があります。
インプラントの成功率 (インプラントと骨が結合する確率) は98%です。
世界的にみても、この数字から
大幅に変動することはありません。
しかし、2%の非成功例でも、
リカバリーは可能です。
(厚生省の指導により、 インプラント治療のリスクを 明示することになりました)
場当たり的な歯の治療を繰り返してまいりますと、
どうしてこうなったのだろうと言うような、歪んだ歯になってきます。
インプラント治療を含めて、根本的な治療をしました。


50代 女性
歯周病がひどくて・・・
即時負荷
抜歯即時埋入
3ヶ月
上顎 206万円(別途消費税)
下顎 162万円(別途消費税)
合計(一次 二次オペ代各1万円を含む) 370万円(別途消費税)
(天然歯の治療 仮義歯は別途費用を要します)
治療期間中は腫れや痛みを伴う 場合があります。
インプラントの成功率 (インプラントと骨が結合する確率) は98%です。
世界的にみても、この数字から
大幅に変動することはありません。
しかし、2%の非成功例でも、
リカバリーは可能です。
(厚生省の指導により、 インプラント治療のリスクを 明示することになりました)
たった3ヵ月でこのようになりました!


60代 女性
わずかに残った前歯がグラグラしてきた!
即時負荷
抜歯即時埋入
3カ月
上顎 206万円(別途消費税)
下顎 132万円(別途消費税)
合計(一次 二次オペ代各1万円を含む) 340万円(別途消費税)
(天然歯の治療 仮義歯は別途費用を要します)
治療期間中は腫れや痛みを伴う 場合があります。
インプラントの成功率 (インプラントと骨が結合する確率) は98%です。
世界的にみても、この数字から
大幅に変動することはありません。
しかし、2%の非成功例でも、
リカバリーは可能です。
(厚生省の指導により、 インプラント治療のリスクを 明示することになりました)
残存骨を有効に利用し、複雑な骨移植を避けたケースです。
治療中も、誰もが好まない『入れ歯』である時期を避けて、即時負荷にてゴールへと導きました。


60代 男性
他院でインプラント治療したのに、うまくいかない!
他院インプラントリカバリー
3ヶ月
上顎 206万円(別途消費税)
下顎 88万円(別途消費税)
合計(一次 二次オペ代各1万円を含む) 296万円(別途消費税)
(天然歯の治療 仮義歯は別途費用を要します)
治療期間中は腫れや痛みを伴う 場合があります。
インプラントの成功率 (インプラントと骨が結合する確率) は98%です。
世界的にみても、この数字から
大幅に変動することはありません。
しかし、2%の非成功例でも、
リカバリーは可能です。
(厚生省の指導により、 インプラント治療のリスクを 明示することになりました)
他院で入れたインプラントの、度重なる重度の破損、清掃不良、
咬合不全を改善しました。
インプラントの適正な埋入位置、本数、補綴手段の大切さが
お分かりいただけると思います。


60代 男性
好きな肉をもう一度かじりたい!
即時負荷
3ヶ月
上顎 206万円(別途消費税)
下顎 132万円(別途消費税)
合計(一次 二次オペ代各1万円を含む) 340万円(別途消費税)
(天然歯の治療 仮義歯は別途費用を要します)
治療期間中は腫れや痛みを伴う 場合があります。
インプラントの成功率 (インプラントと骨が結合する確率) は98%です。
世界的にみても、この数字から
大幅に変動することはありません。
しかし、2%の非成功例でも、
リカバリーは可能です。
(厚生省の指導により、 インプラント治療のリスクを 明示することになりました)
焼き肉屋もステーキもOKです!


50代 女性
大好きなものが、だんだん食べられなくなってきちゃった
抜歯即時埋入
即時負荷
3ヶ月
上顎 206万円(別途消費税)
下顎 132万円(別途消費税)
合計(一次 二次オペ代各1万円を含む) 340万円(別途消費税)
(天然歯の治療 仮義歯は別途費用を要します)
治療期間中は腫れや痛みを伴う 場合があります。
インプラントの成功率 (インプラントと骨が結合する確率) は98%です。
世界的にみても、この数字から
大幅に変動することはありません。
しかし、2%の非成功例でも、
リカバリーは可能です。
(厚生省の指導により、 インプラント治療のリスクを 明示することになりました)
サイナスリフトを避けて、骨がある場所を選んで、インプラントを埋入しました。


60代 男性
上の入れ歯が落ちてくる!
即時負荷
3ヶ月
上顎 206万円(別途消費税)
下顎 162万円(別途消費税)
合計(一次 二次オペ代各1万円を含む) 370万円(別途消費税)
(天然歯の治療 仮義歯は別途費用を要します)
治療期間中は腫れや痛みを伴う 場合があります。
インプラントの成功率 (インプラントと骨が結合する確率) は98%です。
世界的にみても、この数字から
大幅に変動することはありません。
しかし、2%の非成功例でも、
リカバリーは可能です。
(厚生省の指導により、 インプラント治療のリスクを 明示することになりました)
『入れ歯』を長く使用すると、骨はやせてゆきます。
『入れ歯』はますます。使いづらくなってきます。
インプラントで問題解決しました。


70代 男性
インプラントにすると、昔みたいに噛めるってホント!コイケ歯科医院でインプラントをした友人のようにしてほしい!
即時負荷
3ヶ月
上顎 154万円(別途消費税)
下顎 162万円(別途消費税)
合計(一次 二次オペ代各1万円を含む) 318万円(別途消費税)
(天然歯の治療 仮義歯は別途費用を要します)
治療期間中は腫れや痛みを伴う 場合があります。
インプラントの成功率 (インプラントと骨が結合する確率) は98%です。
世界的にみても、この数字から
大幅に変動することはありません。
しかし、2%の非成功例でも、
リカバリーは可能です。
(厚生省の指導により、 インプラント治療のリスクを 明示することになりました)
なんでも噛めるようになりました。

80代 女性
寝たきりだけど、息子にすすめられ、励まされ、インプラントにしたい!
即時負荷
3ヶ月
上顎 206万円(別途消費税)
下顎 162万円(別途消費税)
合計(一次 二次オペ代各1万円を含む) 370万円(別途消費税)
(天然歯の治療 仮義歯は別途費用を要します)
治療期間中は腫れや痛みを伴う 場合があります。
インプラントの成功率 (インプラントと骨が結合する確率) は98%です。
世界的にみても、この数字から
大幅に変動することはありません。
しかし、2%の非成功例でも、
リカバリーは可能です。
(厚生省の指導により、 インプラント治療のリスクを 明示することになりました)
車いすの方ですが、歯を治して、姿勢もよくなりました。


40代 男性
若いのに入れ歯は嫌だ!
抜歯即時埋入
即時負荷
上顎、下顎 各3ヶ月
上顎 206万円(別途消費税)
下顎 162万円(別途消費税)
合計(一次 二次オペ代各1万円を含む) 370万円(別途消費税)
(天然歯の治療 仮義歯は別途費用を要します)
治療期間中は腫れや痛みを伴う 場合があります。
インプラントの成功率 (インプラントと骨が結合する確率) は98%です。
世界的にみても、この数字から
大幅に変動することはありません。
しかし、2%の非成功例でも、
リカバリーは可能です。
(厚生省の指導により、 インプラント治療のリスクを 明示することになりました)
遠路足を運んでいただいた甲斐がありましたね!


70代 男性
入れ歯は、気持ち悪くて使いたくない!
抜歯即時埋入
即時負荷
2.5ヶ月
上顎 154万円(別途消費税)
下顎 110万円(別途消費税)
合計(一次 二次オペ代各1万円を含む) 266万円(別途消費税)
(天然歯の治療 仮義歯は別途費用を要します)
治療期間中は腫れや痛みを伴う 場合があります。
インプラントの成功率 (インプラントと骨が結合する確率) は98%です。
世界的にみても、この数字から
大幅に変動することはありません。
しかし、2%の非成功例でも、
リカバリーは可能です。
(厚生省の指導により、 インプラント治療のリスクを 明示することになりました)
わずか2ヵ月半でこんなに変わりました!


70代 男性
もう一度好きなものを、好きなように食べたい!
抜歯即時埋入
即時負荷
2.5ヶ月
上顎 206万円(別途消費税)
下顎 162万円(別途消費税)
合計(一次 二次オペ代各1万円を含む) 372万円(別途消費税)
(天然歯の治療 仮義歯は別途費用を要します)
治療期間中は腫れや痛みを伴う 場合があります。
インプラントの成功率 (インプラントと骨が結合する確率) は98%です。
世界的にみても、この数字から
大幅に変動することはありません。
しかし、2%の非成功例でも、
リカバリーは可能です。
(厚生省の指導により、 インプラント治療のリスクを 明示することになりました)
僕は歯医者だからそう思うのかもしれませんが、
老齢は『歯を失い』
入れ歯になったその時に訪れるものだと思うのです。
もはや老人ではありません!もう一度『人生』を取り戻しましたね!


30代 女性
歯茎も腫れて出血するし、歯も無くなった!
上顎フルインプラント
下顎前歯 歯周外科 歯周補綴
8ヶ月
上顎 206万円(別途消費税)
下顎 88万円(別途消費税)
合計(一次 二次オペ代各1万円を含む) 296万円(別途消費税)
(天然歯の治療 仮義歯は別途費用を要します)
治療期間中は腫れや痛みを伴う 場合があります。
インプラントの成功率 (インプラントと骨が結合する確率) は98%です。
世界的にみても、この数字から
大幅に変動することはありません。
しかし、2%の非成功例でも、
リカバリーは可能です。
(厚生省の指導により、 インプラント治療のリスクを 明示することになりました)
インプラント治療と歯周治療は両輪です。
インプラントは残存歯の寿命を延ばします。
これも、適切な歯周治療があってのことです!
(インプラント治療より、歯周治療の方が、時間を要しました)


60代 男性
残存歯動揺
抜歯即時埋入
即時負荷
3ヶ月
上顎 206万円(別途消費税)
下顎 162万円(別途消費税)
合計(一次 二次オペ代各1万円を含む) 370万円(別途消費税)
(天然歯の治療 仮義歯は別途費用を要します)
治療期間中は腫れや痛みを伴う 場合があります。
インプラントの成功率 (インプラントと骨が結合する確率) は98%です。
世界的にみても、この数字から
大幅に変動することはありません。
しかし、2%の非成功例でも、
リカバリーは可能です。
(厚生省の指導により、 インプラント治療のリスクを 明示することになりました)
生まれ変わったようだというご意見いただきました。
〒673-0866
兵庫県明石市朝霧町3丁目9-2
info@asagiri-implant.com