兵庫県明石市朝霧にあるお花のキレイなコイケ歯科医院です
インプラント・審美治療ならお任せください

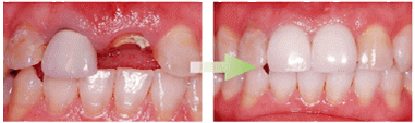
当院の実績・治療症例

2024年度 年間1500本 圧倒的症例数が誇る医院の実力

治療症例を提示できること
それが、真のインプラント治療の実力のエビデンスです。

イラストでも、他からの引用でも説得力はありません。医療広告のガイドラインを遵守するため、
技術の優劣は申し上げられませんが、ご自身の目で当院の実力を評価いただければと思います。

治療症例01
主訴:歯をほとんど失った
使用技術:即時負荷
インプラント埋入本数:14本
費用:370万円(別途消費税)
治療上のリスク:治療期間中は腫れや痛みを伴う場合があります。インプラント成功率 (インプラントと骨が結合する確率) は98%です。
治療症例02
主訴:入れ歯はいやだ
使用技術:即時負荷
インプラント埋入本数:11本
費用:318万円(別途消費税)
治療上のリスク:治療期間中は腫れや痛みを伴う場合があります。インプラント成功率 (インプラントと骨が結合する確率) は98%です。
治療症例03
主訴:噛めない
使用技術:即時負荷 GBR
インプラント埋入本数:14本
費用:370万円(別途消費税)
治療上のリスク:治療期間中は腫れや痛みを伴う場合があります。インプラント成功率 (インプラントと骨が結合する確率) は98%です。
治療症例04
主訴:徐々に出っ歯になってきた
使用技術:GBR 審美補綴
インプラント埋入本数:3本
費用:70万円(別途消費税)
治療上のリスク:治療期間中は腫れや痛みを伴う場合があります。インプラント成功率 (インプラントと骨が結合する確率) は98%です。
治療症例05
主訴:残存歯が動揺
使用技術:上顎フルインプラント
インプラント埋入本数:8本
費用:208万円(別途消費税)
治療上のリスク:治療期間中は腫れや痛みを伴う場合があります。インプラント成功率 (インプラントと骨が結合する確率) は98%です。
治療症例06
主訴:入れ歯が合わない
使用技術:上下顎フルインプラント
インプラント埋入本数:14本
費用:370万円(別途消費税)
治療上のリスク:治療期間中は腫れや痛みを伴う場合があります。インプラント成功率 (インプラントと骨が結合する確率) は98%です。
治療症例07
主訴:前歯が抜けて笑えない
使用技術:上顎5本インプラント
インプラント埋入本数:5本
費用:112万円(別途消費税)
治療上のリスク:治療期間中は腫れや痛みを伴う場合があります。インプラント成功率 (インプラントと骨が結合する確率) は98%です。
治療症例08
主訴:前歯が抜けて笑えない
使用技術:上顎6本 下顎3本
インプラント埋入本数:9本
費用:202万円(別途消費税)
治療上のリスク:治療期間中は腫れや痛みを伴う場合があります。インプラント成功率 (インプラントと骨が結合する確率) は98%です。
治療症例09
主訴:前歯が動いてきた
使用技術:上顎フル
インプラント埋入本数:8本
費用:208万円(別途消費税)
治療上のリスク:治療期間中は腫れや痛みを伴う場合があります。インプラント成功率 (インプラントと骨が結合する確率) は98%です。
治療症例10
主訴:もうわずかしか自分の歯がない
使用技術:上下顎フルインプラント
インプラント埋入本数:14本
費用:370万円(別途消費税)
治療上のリスク:治療期間中は腫れや痛みを伴う場合があります。インプラント成功率 (インプラントと骨が結合する確率) は98%です。
治療症例11
主訴:入れ歯が煩わしい
使用技術:上顎フル 下顎3本
インプラント埋入本数:11本
費用:274万円(別途消費税)
治療上のリスク:治療期間中は腫れや痛みを伴う場合があります。インプラント成功率 (インプラントと骨が結合する確率) は98%です。
治療症例12
主訴:奥歯がない
使用技術:上下顎フルインプラント
インプラント埋入本数:14本
費用:370万円(別途消費税)
治療上のリスク:治療期間中は腫れや痛みを伴う場合があります。インプラント成功率 (インプラントと骨が結合する確率) は98%です。
治療症例13
主訴:奥歯で噛めない
使用技術:下顎7本インプラント
インプラント埋入本数:7本
費用:156万円(別途消費税)
治療上のリスク:治療期間中は腫れや痛みを伴う場合があります。インプラント成功率 (インプラントと骨が結合する確率) は98%です。
治療症例14
主訴:麺類が食べられない
使用技術:前歯3本インプラント
インプラント埋入本数:3本
費用:70万円(別途消費税)
治療上のリスク:治療期間中は腫れや痛みを伴う場合があります。インプラント成功率 (インプラントと骨が結合する確率) は98%です。
治療症例15
主訴:臼歯がない
使用技術:上下6本インプラント
インプラント埋入本数:6本
費用:140万円(別途消費税)
治療上のリスク:治療期間中は腫れや痛みを伴う場合があります。インプラント成功率 (インプラントと骨が結合する確率) は98%です。
治療症例16
主訴:どの歯も痛い
使用技術:上顎5本インプラント
インプラント埋入本数:5本
費用:178万円(別途消費税)
治療上のリスク:治療期間中は腫れや痛みを伴う場合があります。インプラント成功率 (インプラントと骨が結合する確率) は98%です。
治療症例17
主訴:入れ歯の支えが動いてきた
使用技術:上顎6本 下顎3本
インプラント埋入本数:9本
費用:134万円(別途消費税)
治療上のリスク:治療期間中は腫れや痛みを伴う場合があります。インプラント成功率 (インプラントと骨が結合する確率) は98%です。
治療症例18
主訴:前歯しかなくそれも動揺
使用技術:上顎フル
インプラント埋入本数:8本
費用:178万円(別途消費税)
治療上のリスク:治療期間中は腫れや痛みを伴う場合があります。インプラント成功率 (インプラントと骨が結合する確率) は98%です。
治療症例19
主訴:前歯が折れた
使用技術:GBR 審美補綴
インプラント埋入本数:1本
費用:25万円(別途消費税)
治療上のリスク:治療期間中は腫れや痛みを伴う場合があります。インプラント成功率 (インプラントと骨が結合する確率) は98%です。
治療症例20
主訴:入れ歯が不自由
使用技術:上顎フル
インプラント埋入本数:8本
費用:178万円(別途消費税)
治療上のリスク:治療期間中は腫れや痛みを伴う場合があります。インプラント成功率 (インプラントと骨が結合する確率) は98%です。
治療症例21
主訴:奥歯がない
使用技術:上顎4本
インプラント埋入本数:4本
費用:92万円(別途消費税)
治療上のリスク:治療期間中は腫れや痛みを伴う場合があります。インプラント成功率 (インプラントと骨が結合する確率) は98%です。
治療症例22
主訴:前歯がない
使用技術:上顎3本
インプラント埋入本数:3本
費用:72万円(別途消費税)
治療上のリスク:治療期間中は腫れや痛みを伴う場合があります。インプラント成功率 (インプラントと骨が結合する確率) は98%です。
治療症例23
主訴:奥歯片側上下顎歯がない
使用技術:6本インプラント
インプラント埋入本数:6本
費用:136万円(別途消費税)
治療上のリスク:治療期間中は腫れや痛みを伴う場合があります。インプラント成功率 (インプラントと骨が結合する確率) は98%です。
治療症例24
主訴:上顎義歯不適
使用技術:上顎フルインプラント
インプラント埋入本数:8本
費用:208万円(別途消費税)
治療上のリスク:治療期間中は腫れや痛みを伴う場合があります。インプラント成功率 (インプラントと骨が結合する確率) は98%です。
治療症例25
主訴:前歯が抜けた
使用技術:前歯1本 GBR
インプラント埋入本数:1本
費用:26万円(別途消費税)
治療上のリスク:治療期間中は腫れや痛みを伴う場合があります。インプラント成功率 (インプラントと骨が結合する確率) は98%です。
治療症例26
主訴:麺類が食べられない
使用技術:前歯3本インプラント
インプラント埋入本数:3本
費用:70万円(別途消費税)
治療上のリスク:治療期間中は腫れや痛みを伴う場合があります。インプラント成功率 (インプラントと骨が結合する確率) は98%です。
治療症例27
主訴:下顎奥歯がない
使用技術:下顎3本インプラント
インプラント埋入本数:3本
費用:68万円(別途消費税)
治療上のリスク:治療期間中は腫れや痛みを伴う場合があります。インプラント成功率 (インプラントと骨が結合する確率) は98%です。
治療症例28
主訴:左側上顎歯がない
使用技術:上顎インプラント5本
インプラント埋入本数:5本
費用:114万円(別途消費税)
治療上のリスク:治療期間中は腫れや痛みを伴う場合があります。インプラント成功率 (インプラントと骨が結合する確率) は98%です。
治療症例29
主訴:上顎義歯不適
使用技術:上顎フルインプラント
インプラント埋入本数:8本
費用:208万円(別途消費税)
治療上のリスク:治療期間中は腫れや痛みを伴う場合があります。インプラント成功率 (インプラントと骨が結合する確率) は98%です。
治療症例30
主訴:前歯ブリッジ抜けた
使用技術:前歯4本インプラント
インプラント埋入本数:4本
費用:92万円(別途消費税)
治療上のリスク:治療期間中は腫れや痛みを伴う場合があります。インプラント成功率 (インプラントと骨が結合する確率) は98%です。
治療症例31
主訴:前歯が抜けて笑えない
使用技術:上顎5本インプラント
インプラント埋入本数:5本
費用:178万円(別途消費税)
治療上のリスク:治療期間中は腫れや痛みを伴う場合があります。インプラント成功率 (インプラントと骨が結合する確率) は98%です。
治療症例32
主訴:下顎奥歯がない
使用技術:下顎3本インプラント
インプラント埋入本数:3本
費用:68万円(別途消費税)
治療上のリスク:治療期間中は腫れや痛みを伴う場合があります。インプラント成功率 (インプラントと骨が結合する確率) は98%です。
治療症例33
主訴:前歯が動いてきた
使用技術:上顎フル
インプラント埋入本数:8本
費用:178万円(別途消費税)
治療上のリスク:治療期間中は腫れや痛みを伴う場合があります。インプラント成功率 (インプラントと骨が結合する確率) は98%です。

医療広告のガイドラインを遵守するため、各症例の具体的情報を提示致します。

※画像をクリックして頂ければ、治療技術、リスク、注意点なども見て頂けます。

難症例の治療もお任せください!

2024年度 年間1500本 インプラント埋入実績

難症例である多数歯欠損の患者さんや大規模の骨移植を伴うケースを多く手がけてきました。
他院でインプラント治療がうまくいかなかった方への駆け込み寺的存在が『朝霧 インプラント』『コイケ歯科医院』です。

下記のような理由で、インプラント治療を悩まれている方は、ぜひ当医院までお問い合わせください。

  1. 他院で治療不可能と診断された方
  2. サイナスリフトや垂直的GBRなど、治療に特殊技術を要する方
  3. 骨のない方
  4. 多数の歯を失い、健康に噛むことを諦めていらっしゃる方
  5. 高齢で骨粗鬆症じゃないかと心配されている方
  6. 短期間でインプラント治療を終えたい方

インプラント専門医ならではの特殊技術

即時負荷治療の画像

即時負荷治療

インプラント埋入後、当日に仮歯を入れ
数日の間に上部構造・補綴物(人工歯)を作成
早期に噛めるようにする術式です

即時負荷治療のケースを見る

サイナスリフトの画像

サイナスリフト

上顎の骨の厚みが足りず
インプラント埋入が不可能な場合に
骨の移植を行うことで
骨の厚みを増やす処置です

サイナスリフトのケースを見る

審美ケースの画像

審美ケース

歯の機能回復だけではなく
美しさを回復させることも重要と考えます
その技術と経験が、当院の特徴でもあります

審美ケースを見る

多数歯欠損ケースの画像

多数歯欠損ケース

複数の歯を失ったとしても
埋入するインプラントは
歯の本数分である必要はありません
当医院にて、適切な本数の埋入を行います

多数歯欠損ケースを見る

矯正ケースの画像

矯正ケース

インプラント治療ならば、
「上顎前突」「反対咬合」も
短期間で歯並びの改善を図れます。

矯正ケースを見る

症例紹介

当医院のホームページが個性を放っているとすれば、具体的な症例を、画像で提示していることにあるのではないでしょうか。
個性的とのお声を多く頂きます。
当医院が、具体的な症例を提示するのは、
治療症例の数、それこそが医院の実力があることを証明する根拠 だと考えるからなのです。
その工程で、当医院の近年の特徴がはっきりしてきました。それは以下のことです。

審美的にも美しい透明感

補綴物においては、オールセラミックの導入により、より明るく輝きのある歯が、再現できていると言えます。
これは、再生ではなくイノベーション
とも言えましょう。
残存歯のホワイトニングと協調して、「新基準の白さ」「透明感」という美しさに到達しています。

審美的にも美しい透明感の症例1

治療内容

50代 女性
使用技術:ソケットリフト GBR
     オールセラミック
     ホワイトニング
治療費用:上顎 6本 144万円(別途消費税)
     下顎 3本 66万円(別途消費税)
     合計   210万円(別途消費税)
     (一次 二次オペ代各1万円を含む)

治療上のリスク

インプラントの成功率(骨の定着率)は約98%です
骨に定着しなかった場合は 
再手術は可能です
糖尿病 喫煙者 骨粗鬆症は
リスクが上がると言われています

インプラント失敗とは?

インプラントが 骨と結合することを『オステオインテグレーション』と言われています

インプラントの失敗は この『オステオインテグレーション』を確立できなかったことを意味します
残念なことに『オステオインテグレーション』の獲得100%にはなっていません

これは部位 条件 によっても異なってきますが 全手の手術を平均した場合 98%前後だという考え方が一般的のようです

この結果は ある意味 当然の帰結なのかもしれません
生体は 異物を認識し排除する
働きがあります。この機能を免疫と言います

我々 そう賢くもない 歯科医師が 浅知恵を尽くし この免疫システムをかいくぐり
チタニウムという素材のインプラントを 生体に結合させることが インプラントの技術だと言うことです

一方で そんなインプラントの事を 正当に評価いただきたい事もあります

他の臓器移植は 免疫抑制剤なしでは 成り立ちません
また 人口関節のほとんどは 
『オステオインテグレーション』を確立してないのです
インプラントが 多くの方々に 幸福と健康を与えていることも事実なのです

審美的にも美しい透明感の症例2

治療内容

60代 女性
使用技術:両側サイナスリフト GBR
     オールセラミック 審美補綴
治療費用:上顎 8本 236万円(別途消費税)
     下顎 6本 162万円(別途消費税)
     合計   400万円(別途消費税)
     (一次 二次オペ代各1万円を含む)

治療上のリスク

インプラントの成功率(骨の定着率)は約98%です
骨に定着しなかった場合は 
再手術は可能です
糖尿病 喫煙者 骨粗鬆症は
リスクが上がると言われています

シンプルな術式

インプラント体と移植材の進化を最大限有効にした術式を追及した結果
過去には大規模な骨移植が必要だったケースもよりシンプルに なりました。

シンプルな術式でより良い結果に

かんたんなほうが幸せ!
それは、過ぎたるは及ばざるが如し、という意味だけではありません。
33年の経験により判断し、省くものを削ぎ落とせば、
より良い結果が生まれる。
ということです。

シンプルな術式の症例1

治療内容

40代 女性
使用技術:GBR 結合組織移植
     オールセラミック
治療費用:上顎 1本 28万円(別途消費税)

治療上のリスク

インプラントの成功率(骨の定着率)は約98%です
骨に定着しなかった場合は 
再手術は可能です
糖尿病 喫煙者 骨粗鬆症は
リスクが上がると言われています

厳しい状況からのリカバリーケースが多い

厳しい状況からのリカバリーケースの症例1

治療内容

40代 男性
使用技術:両側サイナスリフト GBR
治療費用:上顎 8本 236万円(別途消費税)
     下顎 6本 162万円(別途消費税)
     合計   400万円(別途消費税)
     (一次 二次オペ代各1万円を含む)

治療上のリスク

インプラントの成功率(骨の定着率)は約98%です
骨に定着しなかった場合は 
再手術は可能です
糖尿病 喫煙者 骨粗鬆症は
リスクが上がると言われています

厳しい状況からのリカバリーケースの症例2

治療内容

50代 女性
使用技術:抜歯即時埋入即時負荷 GBR
治療費用:上顎 8本 208万円(別途消費税)
     下顎 6本 162万円(別途消費税)
     合計   370万円(別途消費税)
     (一次 二次オペ代各1万円を含む)

治療上のリスク

インプラントの成功率(骨の定着率)は約98%です
骨に定着しなかった場合は 
再手術は可能です
糖尿病 喫煙者 骨粗鬆症は
リスクが上がると言われています

お問い合わせ

神戸・明石でインプラント治療をお考えの方はお気軽にご相談下さい。

所在地

〒673-0866
兵庫県明石市朝霧町3丁目9-2

メールアドレス

info@asagiri-implant.com

電話番号

078-914-0121

TOPへ